Dear Colleague,

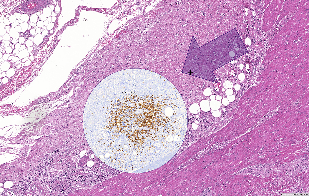
during the discussions at ECDP 2016 in Berlin it turned out that working with multiple slides of the same tissue in different IHC stainings is becoming more and more interesting. Analyzing differently stained sections can be particularly useful in applications such as tumor score computation, biomarker development, or companion diagnostics.

In order to perform analysis on multiple stains efficiently, the digital slides need to be accurately aligned. Our software Slidematch is a powerful and easy to use tool to automate this alignment process. It enables batch processing of up to 25 slides in one go and accurately aligns the images on all magnification levels up to the scan resolution. The aligned images can then be viewed, analyzed and annotated with our free digital pathology viewer Zoom.

Watch our video tutorial and see how easy it is! You can also download a free 20 days trial version of Slidematch from our website.

Best regards

Your microDimensions Team
info@micro-dimensions.com
+49.89.1894253.30
micro-dimensions.com